Cryptococcus neoformans

Translingual

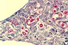
Cryptococcus neoformans (red after staining) in human lung

Proper noun

Cryptococcus neoformans m

  1. A taxonomic species within the family Tremellaceae – a fungus species that causes cryptococcosis, often fatal in humans.

Coordinate terms

References

This article is issued from Wiktionary. The text is licensed under Creative Commons - Attribution - Sharealike. Additional terms may apply for the media files.