Parietal cell
A parietal cell.
Control of stomach acid
Details
LocationStomach
FunctionGastric acid, intrinsic factor secretion
Identifiers
Latinexocrinocytus parietalis
MeSHD010295
THH3.04.02.1.00033
Anatomical terms of microanatomy

Parietal cells (also known as oxyntic cells) are epithelial cells in the stomach that secrete hydrochloric acid (HCl) and intrinsic factor. These cells are located in the gastric glands found in the lining of the fundus and body regions of the stomach.[1] They contain an extensive secretory network of canaliculi from which the HCl is secreted by active transport into the stomach. The enzyme hydrogen potassium ATPase (H+/K+ ATPase) is unique to the parietal cells and transports the H+ against a concentration gradient of about 3 million to 1, which is the steepest ion gradient formed in the human body. Parietal cells are primarily regulated via histamine, acetylcholine and gastrin signalling from both central and local modulators.

Structure

Canaliculus

A canaliculus is an adaptation found on gastric parietal cells. It is a deep infolding, or little channel, which serves to increase the surface area, e.g. for secretion. The parietal cell membrane is dynamic; the numbers of canaliculi rise and fall according to secretory need. This is accomplished by the fusion of canalicular precursors, or "tubulovesicles", with the membrane to increase surface area, and the reciprocal endocytosis of the canaliculi (reforming the tubulovesicles) to decrease it.

Function

Hydrochloric acid secretion

Hydrochloric acid is formed in the following manner:

  • Hydrogen ions are formed from the dissociation of carbonic acid. Water is a very minor source of hydrogen ions in comparison to carbonic acid. Carbonic acid is formed from carbon dioxide and water by carbonic anhydrase.
  • The bicarbonate ion (HCO3) is exchanged for a chloride ion (Cl) on the basal side of the cell and the bicarbonate diffuses into the venous blood, leading to an alkaline tide phenomenon.
  • Potassium (K+) and chloride (Cl) ions diffuse into the canaliculi.
  • Hydrogen ions are pumped out of the cell into the canaliculi in exchange for potassium ions, via the H+/K+-ATPase. These pumps are increased in number on luminal side by fusion of tubulovesicles during activation of parietal cells and removed during deactivation. This pump maintains a million-fold difference in proton concentration. ATP is provided by the numerous mitochondria.
Human parietal cells (pink staining) – stomach.

As a result of the cellular export of hydrogen ions, the gastric lumen is maintained as a highly acidic environment. The acidity aids in digestion of food by promoting the unfolding (or denaturing) of ingested proteins. As proteins unfold, the peptide bonds linking component amino acids are exposed. Gastric HCl simultaneously cleaves pepsinogen, a zymogen, into active pepsin, an endopeptidase that advances the digestive process by breaking the now-exposed peptide bonds, a process known as proteolysis.

Regulation

Parietal cells secrete acid in response to three types of stimuli:[2]

Activation of histamine through H2 receptor causes increases in the intracellular cAMP level while ACh through M3 receptor and gastrin through CCK2 receptor increases intracellular calcium level. These receptors are present on basolateral side of membrane.

Increased cAMP level results in increased protein kinase A. Protein kinase A phosphorylates proteins involved in the transport of H+/K+-ATPase from the cytoplasm to the cell membrane. This causes resorption of K+ ions and secretion of H+ ions. The pH of the secreted fluid can fall by 0.8.

Gastrin primarily induces acid-secretion indirectly, increasing histamine synthesis in ECL cells, which in turn signal parietal cells via histamine release and H2 stimulation.[4] Gastrin itself has no effect on the maximum histamine-stimulated gastric acid secretion.[5]

The effect of histamine, acetylcholine and gastrin is synergistic, that is, effect of two simultaneously is more than additive of effect of the two individually. It helps in non-linear increase of secretion with stimuli physiologically.[6]

Intrinsic factor secretion

Parietal cells also produce a glycoprotein known as intrinsic factor. Intrinsic factor is required for the absorption of vitamin B12 in the diet. A long-term deficiency in vitamin B12 can lead to megaloblastic anemia, characterized by large fragile red blood cells. Pernicious anaemia results from autoimmune destruction of gastric parietal cells, precluding the synthesis of intrinsic factor and, by extension, absorption of vitamin B12. Pernicious anemia also leads to megaloblastic anemia. Atrophic gastritis, particularly in the elderly, will cause an inability to absorb B12 and can lead to deficiencies such as decreased DNA synthesis and nucleotide metabolism in the bone marrow.

Clinical significance

Immunofluorescence staining pattern of gastric parietal antibodies on a stomach section
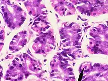
Parietal cells are part of fundic gland polyps (here shown in high magnification).[7]

See also

References

  1. Hunt, A; Harrington, D; Robinson, S (4 June 2014). "Vitamin B12 deficiency" (PDF). BMJ. 349: g5226. doi:10.1136/bmj.g5226. PMID 25189324. S2CID 28782021. Archived from the original (PDF) on 12 March 2017. Retrieved 9 May 2018.Free access icon
  2. Boulpaep, Walter (2009). Medical Physiology. Philadelphia: Saunders. pp. 898–899. ISBN 978-1-4160-3115-4.
  3. "Gastric acid secretion - Homo sapiens". KEGG. Retrieved June 1, 2011.
  4. Waldum, Helge L., Kleveland, Per M., et al. (2009)'Interactions between gastric acid secretagogues and the localization of the gastrin receptor', Scandinavian Journal of Gastroenterology, 44:4,390—393.
  5. Kleveland PM, Waldum HL, Larsson M. Gastric acid secretion in the totally isolated, vascularly perfused rat stomach. A selective muscarinic-1 agent does, whereas gastrin does not, augment maximal histamine-stimulated acid secretion. Scandinavian Journal of Gastroenterology, 1987;22:705–713.
  6. Ganong's Review of Medical Physiology 24th edition. Lange.
  7. Naziheh Assarzadegan, M.D., Raul S. Gonzalez, M.D. "Stomach Polyps - Fundic gland polyp". PathologyOutlines.{{cite web}}: CS1 maint: multiple names: authors list (link) Topic Completed: 1 November 2017. Minor changes: 11 December 2019
This article is issued from Wikipedia. The text is licensed under Creative Commons - Attribution - Sharealike. Additional terms may apply for the media files.