Russell body

English

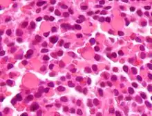
plasmacytoma with abundant Russell bodies (pink, large and homogenous inclusions), H&E stained.

Etymology

Named for William Russell (1852-1940), a Scottish physician.

Noun

Russell body (plural Russell bodies)

  1. (microbiology) A PAS+, eosinophilic, cytoplasmic immunoglobulin-containing inclusion consisting of distended endoplasmic reticulum, usually found in abnormal plasma cells.
This article is issued from Wiktionary. The text is licensed under Creative Commons - Attribution - Sharealike. Additional terms may apply for the media files.